Email Us
admin@axiomvetlab.co.uk
Hello Colleagues
Our ordering platform is now closed, our sister company MiLab Diagnostics are now handling our consumable orders.
If you have not received an invite for their platform please visit milab.store and submit a request, please ensure you populate all the fields on the request form.
Thank you, Team Axiom.
Hello Colleagues
Our ordering platform is now closed, our sister company MiLab Diagnostics are now handling our consumable orders.
If you have not received an invite for their platform please visit milab.store and submit a request, please ensure you populate all the fields on the request form.
Thank you, Team Axiom.


This newsletter is sent by e-mail to each vet practice but if you would like a copy sent to your individual e-mail account please contact us at dsfarm@axiomvetlab.co.uk and we can add you to our circulation list.
We have had a couple of submissions with positive liver fluke results in this year’s lambs in either the coproantigen ELISA or on serology testing (in Dorset & Cheshire). We have also had positive liver fluke results in these tests and on microscopy in older sheep and cattle across the country but there is always a risk in older animals that they could be carry over infections. This is earlier in the season than we would usually be expecting evidence of infection and it is likely to be as result of the wetter summer. Please note that serology on bloods or the coproantigen ELISA on faeces are more sensitive than microscopy, particularly when screening in the autumn and early winter.
We are an accredited lab for the Welsh BVD eradication programme. BVD antibody and antigen results will be uploaded if samples are submitted on a BVD Cymru form. As was the case with BVD Free England there is a small charge for the uploading of the results of 50p per sample for BVD antibody testing and 25p for a BVD antigen test.
Please note that although we are not participating in the worm egg counting part of the AHWP for sheep we are a UKAS accredited lab and provide ISO17025 accredited tests so can be used for follow up endemic disease testing for both cattle and sheep. The diseases and conditions to be sampled for sheep include: Border disease (BD), caseous lymphadenitis (CLA), enzootic abortion of ewes (EAE), Johne’s disease, Maedi Visna (MV), toxoplasmosis, tick-borne fever, pulpy kidney, lamb dysentery, ewe nutrition status, lamb nutrition status & trace elements.
Due to the IBR milk ELISA that we currently use being discontinued, we have had to switch to another supplier’s ELISA. We have trialled a couple of ELISAs from reputable suppliers whom we already work with. Both of these tests have increased sensitivity but this means that herds with positive results are now often giving results at the upper limit of the test, which is not useful for monitoring herds over time. We have therefore modified the procedure for the most suitable of these ELISAs, and carried out in-house validation, so that it can be used for monitoring of trends. Please note that the result figure from IBR milk serology cannot be directly compared to results from prior to July, due to it being a different ELISA kit, however the classification of the herd should be similar to as before. “Doubtful” results will now be classed as “suspect” as it appears likely that there is a low seroprevalence to IBR virus in these herds. Please note that the IBRgE milk serology test is not affected by this change.
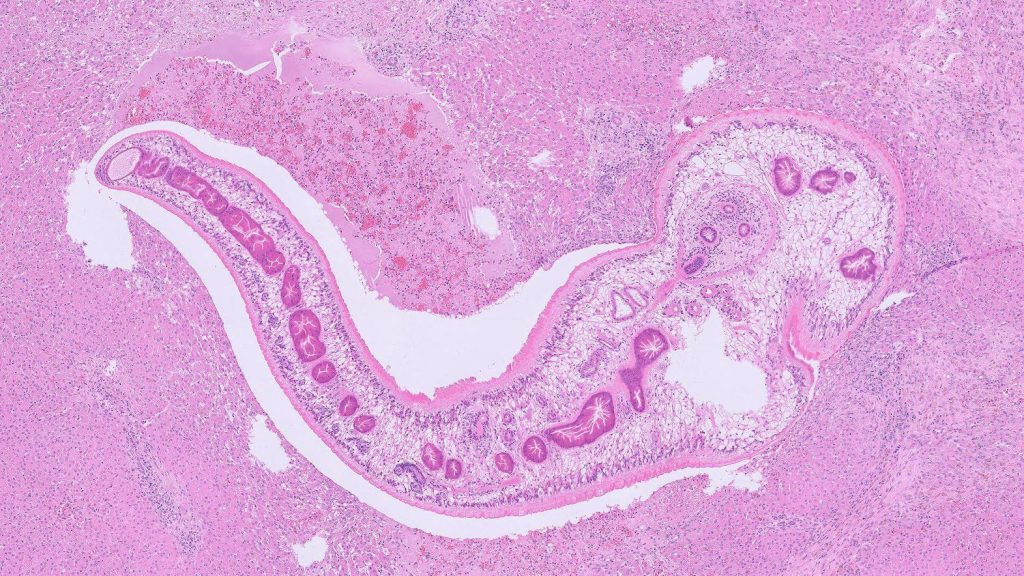
The diagnostic rate for bovine abortions through veterinary laboratories has always been relatively low. There can be a number of reasons for this – the cost of testing for the large range of possible causes makes it cost prohibitive to do a comprehensive screen, the degree of autolysis, lack of availability/testing of placenta and of course some will have been aborted for non-infectious reasons e.g. nutritional, physical or genetic reasons. With sheep abortions the diagnostic rate is higher but screening is usually limited to the most common causes. In an attempt to increase the diagnostic rate of infectious causes of ruminant abortions we are introducing a ten agent multiplex PCR test. It will screen for the following agents: Anaplasma phagocytophilum (TBF), Campylobacter fetus, Chlamydophila spp. (includes EAE), Coxiella burnetii (Q fever), Leptospira spp., Listeria monocytogenes, Neospora caninum, Salmonella spp., Toxoplasma gondii & Brucella sp. These agents are often found systemically in a foetus but can vary as to which viscera they are found in and also the levels at each site. Placenta is often a very good sample to include in a pool of tissues however if it is contaminated with faeces this can be detrimental. Faeces can contain Campylobacter fetus and also Chlamydia pecorum (a Chlamydophila sp. that does not cause abortions) which could lead to a mis-diagnosis. If placenta is faecally contaminated then it is better to sample tissues, using clean instruments and gloves, from within the carcase. The following fresh tissues, which we will test as a pooled sample, are likely to give a very good chance of detecting the above agents if they are present:
Brain (or uncontaminated placenta) & liver & foetal stomach contents (FSC)
Or if no foetus available:
Vaginal swab (plain) & uncontaminated placenta
Clean the vulva with paper towel and part the vulval lips to avoid faecal contamination of the swab and take the sample from the ventral aspect of the cranial vagina. Please note that if only a vaginal swab is submitted (taken up to five days after parturition) and no placenta is sampled then testing is unlikely to detect the presence of Neospora, Toxoplasma and probably also TBF – though serology could be done for these agents instead.
The screen does not include BVD virus (foetal fluid can be tested for BVD antigen and antibodies or there is the more expensive PCR test using fresh spleen or liver) or IBR (we have a PCR test using fresh liver, as an add on).
Please note that the screen also includes Brucella species so if a positive result is obtained for this APHA would need to be informed, with it being a notifiable disease.
Testing of a proportion of the flock is carried out on an annual basis. Where flocks have a minimum two metre biosecure gap at all places between their flock and any neighbouring sheep they can opt to test every two years.

Our Johne’s & Neospora Monitoring programmes give farmers access to discounted test rates for whole herd or regular batch testing. There is no membership fee and no set rules to follow. Johne’s serology is from £4.25 per sample and Neospora serology costs from £5.90 per sample. It works out cheaper than testing through a CHECS cattle health scheme so is ideal for herds that are testing for disease control and management purposes. Advice is provided in the lab report and farmers can be e-mailed a copy if required. Our turnaround times are very fast– often same day but within three working days for both tests. Batch testing herds also get their results in a cumulative spreadsheet. Contact us for more information at dsfarm@axiomvetlab.co.uk or on 01626 357776.
In order to avoid any unnecessary confusion, please can we ask that submission forms are only sent in with the samples and not in advance of the samples. Thank you for your cooperation.
You may find this is a more efficient way of making requests than phoning the farm team, saving you time in your busy day. Our farm team also find it a more efficient way of dealing with your requests.
The email address for test requests is: dsfarm@axiomvetlab.co.uk
Please provide your name, practice, the farmer and farm names so that we can link the photos to the relevant submission and please also indicate which Axiom vet you discussed the case with. We may wish to use some of the photos in our newsletter so please indicate if you are not happy for this to be done. All cases are anonymised and credited to the submitting vet.
Abortions, stillbirths, infertility, mastitis, metritis.
Respiratory disease


Gastrointestinal disease

Skin and eye disease
Systemic and miscellaneous disease

Mastitis
Respiratory disease

Gastrointestinal disease

Skin and eye disease
Systemic and miscellaneous disease
Deficiencies and toxicities
Skin and eye disease
Gastrointestinal disease
Systemic and miscellaneous disease
Follow us on Facebook
This newsletter is sent by e-mail to each vet practice but if you would like a copy sent to your individual e-mail account please contact us at dsfarm@axiomvetlab.co.uk and we can add you to our circulation list.
Download a PDF
Farm February Newsletter 2026 Dedicated farm line – 01626 357776 Follow us on Facebook https://www.facebook.com/Axiomfarmvetlab/…
Farm January Newsletter 2026 Dedicated farm line – 01626 357776 Follow us on Facebook https://www.facebook.com/Axiomfarmvetlab/…
Farm December Newsletter 2025 Dedicated farm line – 01626 357776 Follow us on Facebook https://www.facebook.com/Axiomfarmvetlab/…
For receiving our news and updates in your inbox directly.

Manor House, Brunel Road, Newton Abbot, Devon, TQ12 4PB

The great explorer of the truth, the master-builder of human happiness no one rejects dislikes avoids pleasure itself because it is pleasure but because know who do not those how to pursue pleasures rationally encounter consequences that are extremely painful desires to obtain.
Read More