Email Us
admin@axiomvetlab.co.uk
Oncology Service Now Available – FREE for 3 months
Hello Colleagues
Our ordering platform is now closed, our sister company MiLab Diagnostics are now handling our consumable orders.
If you have not received an invite for their platform please visit milab.store and submit a request, please ensure you populate all the fields on the request form.
Thank you, Team Axiom.
Hello Colleagues
Our ordering platform is now closed, our sister company MiLab Diagnostics are now handling our consumable orders.
If you have not received an invite for their platform please visit milab.store and submit a request, please ensure you populate all the fields on the request form.
Thank you, Team Axiom.


https://www.facebook.com/Axiomfarmvetlab/
This newsletter is sent by e-mail to each vet practice but if you would like a copy sent to your individual e-mail account please contact us at dsfarm@axiomvetlab.co.uk and we can add you to our circulation list.
Would you like to send the Axiom farm vets photos of PMEs to allow us to assist with sample selection and diagnosis? Please send photos by WhatsApp to 07944 649222.
You may find this is a more efficient way of making requests than phoning the farm team, saving you time in your busy day. Our farm team also find it a more efficient way of dealing with your requests.
The email address for test requests is: dsfarm@axiomvetlab.co.uk
If you wish to speak to a particular farm vet about one of your cases, you can consult the table below to see when our vets are usually available. A duty farm veterinary advisor is always around on a Saturday morning from 9am-12pm.

We wish to remind vets that as a commercial laboratory we are unable to offer any Bluetongue testing either on blood samples or abortion material. If we receive samples from cases in which Bluetongue is suspected, we are required to safely dispose of the samples and cannot provide any further testing. We are always happy to discuss cases over the phone before submission of samples. Clinical suspicion of BTV infection must be reported to APHA. Further information on investigating poor reproductive performance in cattle and sheep during Bluetongue outbreaks can be found at the following link:

Unexpected very high results in the Pooled Inorganic Iodine (PII) test do occur from time to time. These elevated results are not straightforward to interpret. It is worth double checking for hidden iodine sources. Mineral licks or buckets may have a high iodine content, and some individuals may take considerably more than the expected daily intake raising the PII level of the pooled sample. Kelp or seaweed-based supplements are usually high in iodine. Disinfectant used in parlour hygiene or for calf/ lamb feeding equipment or for treatment of navels may contain iodophors. Some water sources, particularly borehole water is known to contain high level of trace minerals. Unexpected high values tend to occur without clinical signs. Therefore, iodine toxicity is rarely identified but when it does occur signs can be vague and include persistent coughing, naso-ocular discharge, inappetence, reduced growth rates and dermatitis/ alopecia. Long term high iodine intakes can reduce iodine uptake by the thyroid gland and can cause goitre. Various studies have shown that lambs born to ewes with high iodine intakes had poorer colostral absorption.
If no source of excessive iodine can be identified, then the result may need to be confirmed by resampling. Please let one of our vets know if you plan to recheck a PII result so that it is flagged as a herd/flock with a previous high result and can be interpreted with this in mind.
To maximise the chance of a diagnosis in abortion cases, foetal stomach content (FSC) is one of the most useful samples we can receive. It is used primarily to identify bacteriological and fungal causes of abortion. It is an important component of our abortion PCR package (Test code: FABORT) where it is used in a ‘pool’ along with fresh foetal brain and liver tissue. In a freshly aborted foetus, the abomasal contents will be relatively protected from environmental contamination as opposed to, for example, placental tissue which tends to be heavily contaminated. When sampling FSC the risk of contamination can be minimised by using a sterile vacutainer and needle punctured though the stomach wall to sample the fluid inside. Where insufficient fluid is present then an alternative is to nick the stomach wall with a clean scalpel and introduce a swab (charcoal or other swab with transport media suitable for bacteriology) through the wall to sample the contents. FSC is only suitable for testing in abortion cases and cases at term where the animal was known to have been stillborn. Stomach contents from animals that have been alive for several hours/ days are not suitable for testing as they may have received milk/milk replacers or attempted to suckle contaminating of the stomach contents and leading to less than useful results e.g detection of the agent in milk/colostrum.
We have validated a new method for differentiation of Haemonchus species from other Strongyle eggs in faecal samples. Haemonchus contortus speciation is now performed using the OvaCyte system and this method compares well with the PNA (peanut agglutinin test) * and offers a reduced turnaround time. Specificity has been estimated to be around 90%**. If a positive result is very unexpected (e.g. from a flock with no known history of Haemonchosis or a closantel post-drench check etc) it is important to be aware that the risk of a false positive cannot be entirely excluded. False positive risk may be higher in samples with a low total strongyle count. The PNA test continues to be available to further investigate an unexpected positive result if required.
*Correction from February issue: ‘Peanut agglutination test’ corrected to ‘Peanut agglutinin test’ **Elghryani N, Lahan G, Bor Gohain J, McOwan T and de Waal T (2025) Comparison of OvaCyte™ Speciation and PNA staining for the detection of Haemonchus contortus in ovine faecal samples. Front. Vet. Sci. 12:1688644. doi: 10.3389/fvets.2025.1688644
We have taken the decision to suspend our referral test for manganese on bloods for the foreseeable future, due to concern over reliability of recent results and inconsistencies in suggested reference intervals in the literature. Whole blood, plasma and serum manganese levels are known to be highly variable and generally considered to be a poor indicator of manganese status in the animal. Liver manganese levels are also variable but may be a more reliable indicator of status. Where manganese deficiency is suspected due to the birth of calves with appearance consistent with congenital joint laxity and dwarfism (CJLD) consider increasing manganese supplementation in the following season. This should be done as part of a range of measures which can include increasing level of non-ensiled feed to at least 25% Dry Matter intake*, providing small amounts of supplementary concentrates and ensuring minimum National Research Council (NRC) mineral guidelines are met. If you are considering sending blood samples for manganese testing, please feel free to contact us to discuss your case.
Correction from February issue: Percentage DMI altered from 30% to 25% to reflect current recommendations.
Cattle
Abortions/mastitis
Respiratory disease
Gastrointestinal disease
Skin and eye disease
Systemic and miscellaneous disease

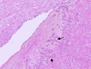
Figure 1 : Fungal hyphae (arrows) seen in a thrombus within a vessel in the lung of a cow
Abortions, reproductive disease, mastitis
Respiratory disease

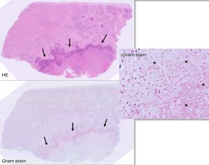
Figure 2 : HE and gram stain sections of lung showing large areas of necrosis (arrows) with gram negative filamentous bacteria (*) confirmed on bacteriology as Fusobacterium necrophorum

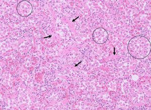
Figure 3 : Lung histopathology from a sheep showing lymphohistiocytic interstitial pneumonia with macrophages in alveoli (circles) and smooth muscle hyperplasia (arrows) suggestive of maedi visna (MV).
Gastrointestinal disease
Skin and eye disease
Systemic and miscellaneous disease
https://www.facebook.com/Axiomfarmvetlab/
This newsletter is sent by e-mail to each vet practice but if you would like a copy sent to your individual e-mail account please contact us at dsfarm@axiomvetlab.co.uk and we can add you to our circulation list.
Download a PDF
Download a PDF
Farm February Newsletter 2026 Dedicated farm line – 01626 357776 Follow us on Facebook https://www.facebook.com/Axiomfarmvetlab/…
Farm January Newsletter 2026 Dedicated farm line – 01626 357776 Follow us on Facebook https://www.facebook.com/Axiomfarmvetlab/…
For receiving our news and updates in your inbox directly.

Manor House, Brunel Road, Newton Abbot, Devon, TQ12 4PB

The great explorer of the truth, the master-builder of human happiness no one rejects dislikes avoids pleasure itself because it is pleasure but because know who do not those how to pursue pleasures rationally encounter consequences that are extremely painful desires to obtain.
Read More