Email Us
admin@axiomvetlab.co.uk
Oncology Service Now Available – FREE for 3 months
Hello Colleagues
Our ordering platform is now closed, our sister company MiLab Diagnostics are now handling our consumable orders.
If you have not received an invite for their platform please visit milab.store and submit a request, please ensure you populate all the fields on the request form.
Thank you, Team Axiom.
Hello Colleagues
Our ordering platform is now closed, our sister company MiLab Diagnostics are now handling our consumable orders.
If you have not received an invite for their platform please visit milab.store and submit a request, please ensure you populate all the fields on the request form.
Thank you, Team Axiom.


Due to the nature of the spleen, a biopsy with the intention of histopathology is always going to be excisional. Incisional core biopsies are possible but not routine. Fine needle aspirates may of course form part of an initial investigation into splenic disease or cancer staging. However, reliable and meaningful histopathology requires splenectomy. Indications for splenectomy include a splenic mass or neoplasia; splenomegaly; traumatic injury; and splenic torsion1.
Punch, wedge and even Tru-cut biopsies need not apply! Please read on for advice on how to sample spleens and splenic lesions.
The gold standard way to sample the spleen following splenectomy is NOT to sample. Submitting the entire spleen is more likely to lead to a definitive diagnosis than even multiple sections2. Our fact sheets on splenic sampling and submission of whole organs provide more details3,4. It is best to fix the entire spleen at your practice in a large bucket that allows the entire spleen to be submerged in 10% neutral buffered formalin (NBF). After about 3-4 days, the spleen can be sent in a smaller volume of formalin, wrapped in gauze or paper towels pre-soaked in 10% NBF, then double bagged and, ideally, placed in a protective container. Prior to fixation, a series of partial incisions made through the capsule will allow better formalin penetration. Please bear in mind that spleen is an organ that often takes longer to fix and it may still require a more prolonged fixation time, even after arriving at the laboratory. This is mainly due to its high blood content.
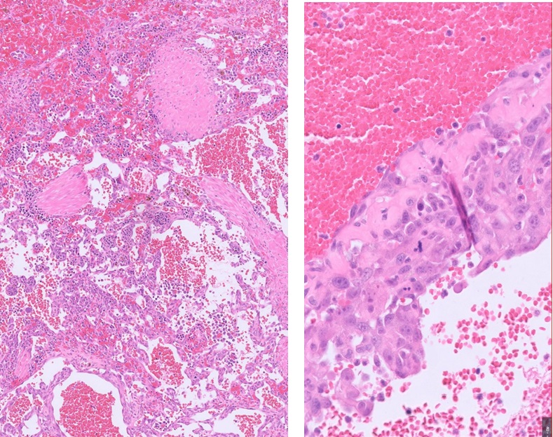
If sending the entire organ is not feasible, then submission of selected, representative sections is the next best option, ideally supported by annotated photographs. When sampling nodules, we strongly advise sampling of the transition area between the nodule and the surrounding spleen. Sampling the centre is likely to capture only blood and may miss more diagnostic peripheral tissue, particularly in haemangiosarcoma (see Fig 1).

In dogs, pathological findings vary a little with different studies but, as a broad rule of thumb, approximately half of splenic lesions are neoplastic and half non-neoplastic. Approximately 50% of neoplastic lesions are haemangiosarcoma2,5. Other potentially malignant neoplasms are less common but include lymphoma, histiocytic sarcoma and metastatic neoplasia. Nodular hyperplasia or haematoma formation are the most common benign lesions and both are obviously non-neoplastic. Benign splenic neoplasms are very uncommon but include haemangioma (actually quite rare), lipoma and myelipoma. Other non-neoplastic lesions include infarcts, abscesses, torsion and extramedullary haematopoiesis.
Diagnosis of splenic disease in cats is much less common. Feline splenic lesions include nodular hyperplasia, haematoma, splenitis and neoplasia, both primary and metastatic. One recent study of 62 cats found that neoplasia was the most common diagnosis (81%) and, of those, the most common diagnoses were mast cell tumour, haemangiosarcoma, lymphoma and histiocytic sarcoma6.




Reference Guide to Fine Needle Aspiration of Skin Lesions: A Practical and Diagnostic Cornerstone in…
Muscle I. Muscle biopsy In this blog, we turn to muscle biopsies, specifically skeletal muscle. …
Mammary Glands I. Indications for biopsy/pathological evaluation Mammary lesions are among the most common samples…
PART I – The Male Reproductive Tract I. Indications for biopsy/pathological evaluation The male reproductive…
For receiving our news and updates in your inbox directly.

Manor House, Brunel Road, Newton Abbot, Devon, TQ12 4PB

The great explorer of the truth, the master-builder of human happiness no one rejects dislikes avoids pleasure itself because it is pleasure but because know who do not those how to pursue pleasures rationally encounter consequences that are extremely painful desires to obtain.
Read More