Email Us
admin@axiomvetlab.co.uk
Hello Colleagues
Our ordering platform is now closed, our sister company MiLab Diagnostics are now handling our consumable orders.
If you have not received an invite for their platform please visit milab.store and submit a request, please ensure you populate all the fields on the request form.
Thank you, Team Axiom.
Hello Colleagues
Our ordering platform is now closed, our sister company MiLab Diagnostics are now handling our consumable orders.
If you have not received an invite for their platform please visit milab.store and submit a request, please ensure you populate all the fields on the request form.
Thank you, Team Axiom.


https://www.facebook.com/Axiomfarmvetlab/
This newsletter is sent by e-mail to each vet practice but if you would like a copy sent to your individual e-mail account please contact us at dsfarm@axiomvetlab.co.uk and we can add you to our circulation list.
Would you like to send the Axiom farm vets photos of PMEs to allow us to assist with sample selection and diagnosis? Please send photos by WhatsApp to 07944 649222.You may find this is a more efficient way of making requests than phoning the farm team, saving you time in your busy day. Our farm team also find it a more efficient way of dealing with your requests. The email address for test requests is: dsfarm@axiomvetlab.co.ukInfection levels appear to be relatively low again this year following a dry and hot summer. Consider testing before treating. Of the twenty positive fluke serology submissions twelve were bovine and eight were ovine. Of the fluke coproantigen ELISA submissions five were bovine, sixteen ovine, two camelids and one caprine. (Note that the fluke serology test is only suitable for cattle and sheep). It is also worth noting that in addition to the positive results there were a further twenty-seven submissions which gave suspicious results in the fluke coproantigen test. Some studies in the literature show that the sensitivity of the coproantigen ELISA is improved by lowering the cut-off without an apparent loss in specificity. Different authors have varied in the lower cut-off that they have suggested for positives, particularly for cattle. We know that the test sensitivity can be adversely affected by pooling so if a result, particularly if it is for a pooled sample, is between 2 and 8% it is possible that infected animals are present.
Geographically, there was a spread of positive liver fluke results from Aberdeenshire in the North to Cornwall in the South.

Fluke serology and coproantigen charts by submission and individual samples
We were delighted to welcome Tim Geraghty as an additional recruit to the farm vet team in October. Tim is a European specialist in cattle health and production and has been involved in research and published on a wide range of subjects including fertility, infectious disease and nutrition. He will be working at Axiom on Monday and Wednesday afternoons.
If you wish to speak to a particular vet about one of your cases you can consult the table below to see when our farm vets are working. A duty farm veterinary advisor is always available to speak to on a Saturday morning 9am-12pm:

A new rapid, accurate and affordable molecular mastitis test is now available at Axiom. The test detects the presence of six key mastitis pathogens, and the turnaround time is no longer than the following working day. This can allow a targeted course of treatment based upon the pathogens present, aiding responsible use of antibiotics and resulting in less discarded milk. As well as potentially saving money there are benefits for herd health in the long term. The agents detected are E. coli, Staphylococcus aureus, Streptococcus uberis, Streptococcus dysgalactiae, Streptococcus agalactiae and Klebsiella pneumoniae. The cost of the test is £45 & VAT (test code FAMAS).
Axiom is an approved laboratory for testing samples for the parasitology element part of the AHWP for sheep. We don’t supply sampling kits for this purpose, but appropriate consumables can be ordered from us in the usual way.
We can also carry out any of the follow up endemic disease testing for both cattle and sheep. The diseases and conditions to be sampled for sheep include: Border disease (BD), caseous lymphadenitis (CLA), enzootic abortion of ewes (EAE), Johne’s disease, Maedi Visna (MV), toxoplasmosis, tick-borne fever, pulpy kidney, lamb dysentery, ewe nutrition status, lamb nutrition status & trace elements.
For cattle, a biosecurity assessment relating to BVD virus needs to be done in discussion with the farmer. This needs to cover whether it is appropriate for the herd to join a BVD accreditation programme. Membership is not compulsory, as many commercial herds may not be able to meet the rule requirements, particularly the requirement for a minimum three-metre biosecurity gap. Vaccination also needs to be discussed – again it is not compulsory for it to be put in place though it is a good insurance policy until the country is further down the route of eradicating BVD virus. From the BVD check test results coming through the lab most herds appear to be free of infection so could be becoming naïve with time if they are not vaccinating. The impact of a BVD incursion, without the protection from BVD vaccination, could have a serious financial impact on a herd. Although a herd may be closed and appear to be isolated, we have seen breakdowns occurring due to the suspected transfer of virus on equipment or clothing.
We are an accredited lab for the Welsh BVD eradication programme. BVD antibody and antigen results will be uploaded if samples are submitted on a BVD Cymru form. As was the case with BVD Free England, there is a small charge for the uploading of the results of 50p per sample for BVD antibody testing and 25p for a BVD antigen test. Please note that all fields on the BVD Cymru submission form must be completed (including the keeper’s phone number and email address) otherwise there is a block on the results uploading.
Our Johne’s & Neospora Monitoring programmes give farmers access to discounted test rates for whole herd or regular batch testing. There is no membership fee and no set rules to follow. Johne’s serology is from £5 per sample and Neospora serology costs from £6.75 per sample. It works out cheaper than testing through a CHECS cattle health scheme so is ideal for herds that are testing for disease control and management purposes. Advice is provided in the lab report and farmers can be e-mailed a copy if required. Our turnaround times are very fast– often same day but within three working days for both tests. Batch testing herds also get their results in a cumulative spreadsheet. A reminder to test email is sent out for herds on annual testing. Contact us for more information at dsfarm@axiomvetlab.co.uk or on 01626 357776.
For herds that are testing using bloods rather than milks for Johne’s serology an average test value can still be calculated but it is not directly comparable to the target used for milks. The Johne’s Action Group has advised that the ATV for bloods should be provided on the declaration form for the herd but state that it has been derived from blood testing. Dairy farmers using Johne’s blood serology can monitor the trend of their herd’s ATVs over time. We will automatically provide an ATV for herds that are testing through the Axiom Johne’s Monitoring Programme (plus any historic values since they started testing through the programme). If one is required when doing a 60 cow screen, please request this on the submission form.
When sending submissions containing 50+ bloods, please ensure that you use a Field Kit containing a polystyrene sample rack/box for the orderly transportation of your samples, remembering to populate the rack in the same order as your accompanying animal ID list. Receiving large quantities of blood samples in a plastic bag or cardboard box is not appropriate or conducive to the efficient handling of such submissions and invariably leads to significant delays in preparation and turnaround times.
Field Kits (filled with the required serum gel tubes) are readily available to order via the following link… https://milab.store.unleashedsoftware.com/
As part of our continuing effort to help improve our services to clients within the Laboratory Division we have put together a short survey which will be sitting live permanently for anyone to complete whenever they have a few minutes spare. This can be filled in by anyone who uses any of our services and we encourage feedback to help us understand what we are doing well and where we need to make improvements. The QR code and link to the survey will remain live as a continuous tool to enable us to always gather feedback. If anyone has any questions about this they are welcome to contact either of the Quality Managers at the Laboratories, Claire Richardson for Axiom Veterinary Laboratories and Susan Reeve for Finn Pathologists. Thank you in advance for helping us to improve our services.
https://www.surveymonkey.com/r/Laboratory_Satisfaction_Survey

Cattle
Abortions
Respiratory disease
Gastrointestinal disease
Skin and eye disease
Systemic and miscellaneous disease
Gastrointestinal disease
Skin and eye disease
Systemic and miscellaneous disease

Clusters of bacteria (Biberstenia trehalosi) with admixed degenerate leukocytes in the lung of a sheep with systemic pasteurellosis (HE)

Sheep systemic pasteurellosis: Bacteria are gram negative (pink coccibacilli) on Gram stain.

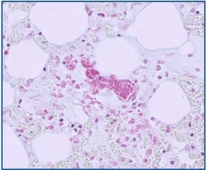
Kidney from a sheep with acorn toxicity. Tubules are often dilated and filled with eosinophilic fluid, haemorrhage, necrotic debris and degenerate neutrophils (arrows). There is also multifocal interstitial information (circle)
https://www.facebook.com/Axiomfarmvetlab/
This newsletter is sent by e-mail to each vet practice but if you would like a copy sent to your individual e-mail account please contact us at dsfarm@axiomvetlab.co.uk and we can add you to our circulation list.
Farm October Newsletter 2025 Dedicated farm line – 01626 357776 This newsletter is sent by…
Farm September Newsletter 2025 Dedicated farm line – 01626 357776 This newsletter is sent by…
Farm August Newsletter 2025 Dedicated farm line – 01626 357776 This newsletter is sent by…
Farm June Newsletter 2025 Dedicated farm line – 01626 357776 This newsletter is sent by…
For receiving our news and updates in your inbox directly.

Manor House, Brunel Road, Newton Abbot, Devon, TQ12 4PB

The great explorer of the truth, the master-builder of human happiness no one rejects dislikes avoids pleasure itself because it is pleasure but because know who do not those how to pursue pleasures rationally encounter consequences that are extremely painful desires to obtain.
Read More